Dans les coulisses de la recherche : immersion au Laboratoire de Parasitologie de l’Institut Pasteur de la Guyane

Dans le cadre de la réalisation d’un film mettant en lumière ses activités, le CEBA a poussé les portes de l’une de ses 12 unités de recherche : l’Institut Pasteur de la Guyane. L’occasion d’aller découvrir les coulisses du Laboratoire de Parasitologie, à la rencontre des chercheuses qui y travaillent.

Comprendre l’évolution génétique des parasites du paludisme

Le paludisme est l’un des axes majeurs de recherche de l’Institut Pasteur de Guyane. Au sein du Laboratoire de Parasitologie, les chercheuses étudient les parasites du genre Plasmodium (P. falciparum et P. vivax), responsables de la maladie en Guyane. Leurs travaux se concentrent sur l’évolution génétique de ces parasites et notamment leur capacité à développer des résistances aux traitements antipaludiques.

En Guyane, un premier traitement antipaludique, longtemps utilisé, a peu à peu perdu de son efficacité en raison de mutations génétiques apparues chez Plasmodium falciparum. L’introduction d’un second médicament a, à son tour, exercé une pression sélective et entraîné l’émergence de nouveaux variants résistants.

Dès les premières années du CEBA, en 2014, Lise Musset cherche à comprendre les dynamiques de cette adaptation.

Elle a ainsi identifié une nouvelle mutation et découvert un phénomène inattendu : face au second traitement, les parasites ayant sélectionnés cette nouvelle mutation, étaient devenus à nouveau sensibles au traitement historique.

Lise Musset, responsable du laboratoire de Parasitologie de l'Institut Pasteur de la Guyane, nous explique ses recherches en laboratoire

Les spécificités du paludisme sur le plateau des Guyanes

– La répartition y est très variable selon les pays : le Suriname est désormais exempt, la Guyane connaît une forte baisse des cas, le Brésil affiche une situation contrastée selon les régions, tandis que le Venezuela et le Guyana enregistrent un nombre de cas conséquents.

– Les activités minières sont très propices à la transmission de cette maladie.

– L’automédication y est courante, les personnes infectées étant souvent éloignées des structures de soin.

– En Guyane, trois espèces de parasites étaient présentes : Plasmodium vivax représentant la quasi-totalité des cas, Plasmodium falciparum et Plasmodium malariae sont beaucoup plus rares.

Lire la suite Collapse

Focus sur Plasmodium falciparum

Plasmodium falciparum est l’espèce de parasite responsable des cas de paludisme les plus mortels dans le monde (80% des infections au niveau mondial et 90% des décès). Elle est présente en Afrique, en Asie du Sud-Est et dans la région des Amériques. Les particularités de chaque région – espèces de moustiques vecteurs, politiques thérapeutiques, niveaux de transmission – ont façonné la diversité génétique des parasites en fonction de leur origine géographique.  

Depuis 2001, les associations thérapeutiques à base de dérivés de l’artémisinine (ACT) sont recommandées par l’OMS pour traiter le paludisme.

Cependant, l’émergence de nouvelles résistances aux médicaments associées à des échecs thérapeutiques compromet régulièrement la lutte contre le paludisme. Les scientifiques surveillent et cherchent de manière constante afin d’établir des recommandations médicales avec les traitements les plus efficaces et ainsi participer au contrôle et à l’élimination de la maladie.

Lire la suite Collapse

Une surveillance scientifique au service des stratégies thérapeutiques

Célia Florimond, ingénieure de recherche au laboratoire, multipliant in vitro, P. falciparum.

Pour procéder à cette surveillance rigoureuse des résistances, les échantillons de parasites (isolat) sont prélevés chez des patients infectés, puis mis en contact en laboratoire avec des globules rouges exempts de toute contamination, fournis par l’Établissement Français du Sang. 

Placés dans des incubateurs aux conditions contrôlées, les parasites se multiplient puis sont placés en présence des molécules thérapeutiques. Les chercheuses analysent alors leur réaction : survivent-ils au traitement ? À quelle vitesse ? Quelles différences génétiques distinguent les souches sensibles des résistantes ? Leur capacité à se multiplier en présence du médicament est-elle altérée ?

Ces études s’appuient sur un suivi génétique mené depuis près de trente ans en Guyane et complété par des analyses de souches prélevées sur l’ensemble du plateau des Guyanes et dans plusieurs états du Brésil. Les études menées sur P. falciparum et P. vivax ont un impact direct sur les recommandations médicales et les stratégies de lutte contre le paludisme. Elles permettent d’adapter les protocoles thérapeutiques et d’améliorer les outils diagnostiques, avec un objectif constant : éliminer les derniers foyers de la maladie encore présents en Guyane.

Mutations émergentes et évolutions locales

Aujourd’hui, la recherche se poursuit, notamment avec le projet MULTIIMPACT, porté par Célia Florimond et financé par le CEBA en 2025. Ce projet se concentre de nouveau sur Plasmodium falciparum. Il a pour objectif de caractériser une modification génétique retrouvée sur 62% des isolats collectés en Guyane et d’évaluer son implication dans la résistance à un médicament actuellement utilisé, la luméfantrine.

Des études ont également portées sur une analyse plus large des mutations génétiques sur une période de 20 ans, indépendamment des médicaments. Dans le cadre du projet stratégique CEBA AMAZOMICS, les scientifiques de l’Institut Pasteur ont remarqué que la forte diminution des cas en Guyane ces dernières années a impacté la génétique des parasites. Les derniers ayant tendance à rester sur zone et à se transmettre, semblent être ceux qui produisent rapidement des gamétocytes, la forme parasitaire qui se transmet aux moustiques.

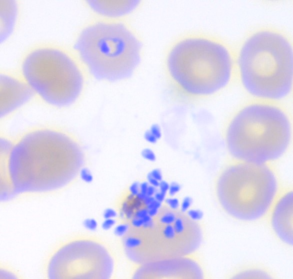
Microscopie obtenue à l'objectif X100 montrant des globules rouges infectés par P. falciparum. Deux formes parasitaires y sont visibles, la forme "anneau" (en haut de l'image) et la forme "schizonte" éclaté contenant des mérozoïtes prêts à infecter de nouveaux globules rouges (au bas de l'image).

Pour Lise Musset, responsable du Laboratoire de Parasitologie de l’Institut Pasteur de la Guyane, le LabEx CEBA a permis, grâce à ces différents financements, d’approfondir les études sur l’évolution des génomes (information génétique) parasitaire d’un point de vue fondamental. Il a aussi favorisé les collaborations multidisciplinaires et internationales, comme dans le cadre du projet AMAZOMICS, en réunissant des chercheurs d’horizons divers travaillant tous sur la génétique des populations – qu’il s’agisse de parasites, d’arbres ou d’animaux – ouvrant ainsi de nouvelles perspectives méthodologiques et scientifiques.

En savoir plus :

Sur le projet PlasmoDynEvol : interview de Lise Musset et Stéphane Pelleau, projet PlasmoDynEvol CEBA, 2014

Sur le projet AMAZOMICS – projet stratégique CEBA 2011-2015 : https://www.labex-ceba.fr/projets-strategiques/ (pour la partie Institut Pasteur, le projet a été porté en lien avec Benoit de Thoisy et Stéphane Pelleau)

Sur les projets de recherche de l’Institut Pasteur autour de l’évolution et de la diversité des plasmodies : https://www.pasteur-cayenne.fr/la-recherche/nos-equipes/laboratoire-parasitologie/recherche-parasito/evolution-et-diversite-des-plasmodies/

Les publications du laboratoire de parasitologie de l’IPG : https://www.pasteur-cayenne.fr/la-recherche/nos-equipes/laboratoire-parasitologie/